Before & After Photos
At the dental practice of Mark E. Richardson, DDS, our extensive expertise and years of experience enable us to craft beautiful, lifelike smiles that can profoundly enhance your quality of life. Our team is committed to surpassing your expectations, ensuring you have a smile that brings you joy and confidence.
Ready to Learn More?
We welcome you to explore our smile gallery, featuring authentic transformations achieved by our valued patients.


This patient was unhappy with the appearance of their teeth until Dr. Mark placed composite veneers.
Call Our Kalamazoo Dentist Today!
If you desire a more uniform smile, call us today to schedule an appointment.


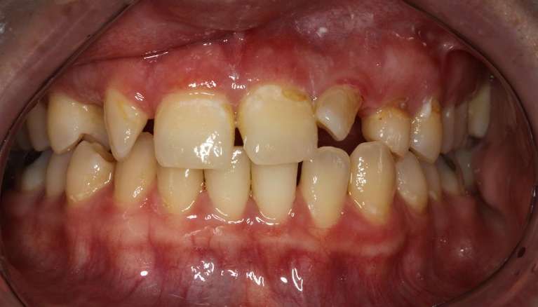
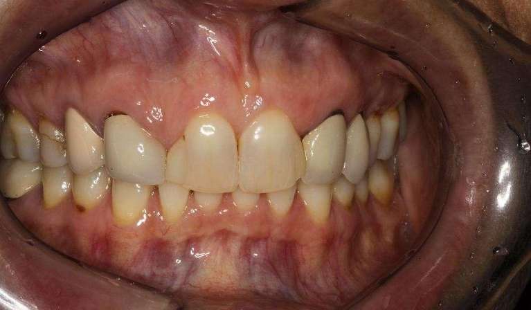
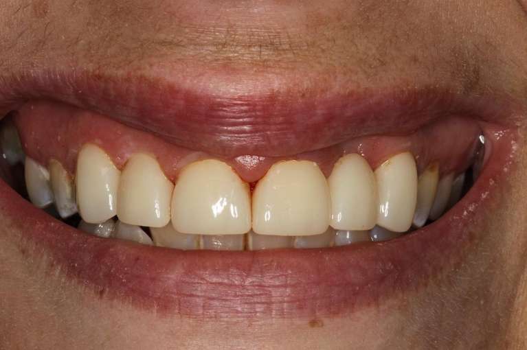
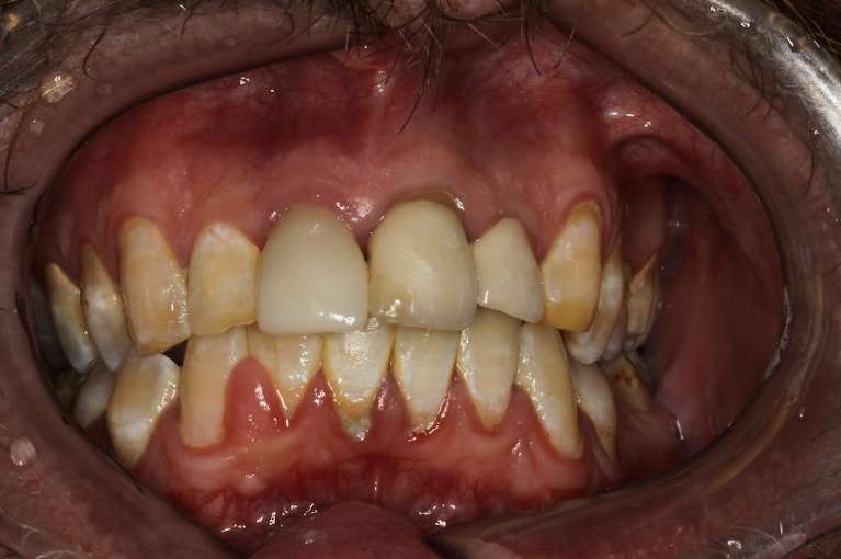
This patient came to us unhappy with her smile. Dr. Mark created an anterior (front) bridge to help her have more uniform-looking teeth and stunning results.
Beautiful, Natural-Looking Bridges in Kalamazoo, MI
If you are curious about what dental bridges can do for your smile, give us a call to arrange a consultation.


A straight smile is often a healthier smile! This patient wanted more uniformity, which we achieved with ClearCorrect® clear aligners.
Clear aligners enable us to provide orthodontic treatment without cumbersome brackets and wires. The results are fantastic.
ClearCorrect Clear Aligner Orthodontics in Kalamazoo, MI
We look forward to helping you achieve a smile you are proud to show the world.


Witness the magic of our composite veneers as they sculpt and refine smiles, restoring confidence and radiance to our patients’ smiles. Explore these before-and-after photos to see firsthand how dental composites can help you sculpt your ideal smile.
Looking for Dental Composites in Kalamazoo, MI?
Call Dr. Mark today to learn more about our cosmetic and restorative dentistry solutions, including dental composites.


With meticulous attention to detail, Dr. Mark crafts custom solutions that seamlessly blend with your natural teeth, enhancing their appearance and symmetry. Take a look at these results to see how dental composites can elevate the aesthetics of your lower teeth, giving you a smile you'll be proud to show off.
Enhance Your Smile’s Health and Beauty
Call us today to schedule your consultation with Dr. Mark.


Each meticulously crafted crown and bridge is designed to elevate the patient's smile to new heights, restoring aesthetics and functionality.
Restore Your Dental Health and Appearance
Discover how our crowns and bridges can transform your smile, giving you the confidence to shine brightly in every moment. Call us today!


Prepare for a regal reinvention of your smile with our custom-made dental crowns. Crafted with precision and artistry, these crowns provide a stunning appearance and radiate confidence.
Reinvent Your Smile with Dental Crowns in Kalamazoo
Our modern dental crowns are designed with your needs and goals in mind. Contact us today to learn more about our attractive, high-quality dental restorations.


This patient received a comprehensive solution that seamlessly bridged the gaps in their smile while enhancing its overall appearance. Now, they can enjoy a more harmonious smile and improved oral health.
Complete Your Smile with a Dental Crown and Bridge
Call us today to schedule your consultation and embark on your journey toward the healthy, beautiful smile you’ve always wanted.


Dr. Mark meticulously crafts each dental crown to restore the natural beauty and strength of one’s teeth. This patient is thrilled with their renewed smile, and now, they radiate confidence with every interaction.
Your Dream Smile Is Possible with Dental Crowns in Kalamazoo
Your journey to a majestic smile begins with a consultation with Dr. Mark. Call us today to learn more about our high-quality dental crowns in Kalamazoo.


At Dr. Mark E. Richardson's dental office, we take pride in restoring your smile to its natural beauty. These before-and-after images display how restorations can dramatically enhance one’s smile, bringing back the confidence and joy in every grin. This patient couldn’t be more pleased with these stunning results!
Call Our Kalamazoo Dentist
Whether it's repairing damaged teeth or improving aesthetics, our dental restorations blend seamlessly with your natural teeth for a radiant and healthy smile. Call us today for more information!


This patient's results are visually appealing and effective, ensuring a perfect blend with their natural tooth color and shape. Ultimately, the tooth composite enhanced this patient’s smile, repaired the traumatized tooth, and preserved the tooth's integrity.
Repair Dental Trauma in Kalamazoo
Call us today to learn more about how we can help repair damaged teeth and restore your smile.


Dr. Mark specializes in replacing missing teeth with implants and crowns that look and feel natural. This patient’s case was highly successful, and they regained their full smile and biting strength.
Regain Your Smile’s Strength and Beauty
These images are a testament to the durability and aesthetic appeal of our dental implants and crowns, tailored to meet the unique needs of each patient. Call us today to learn more.


Dr. Mark helped this patient bridge the gap in their smile. We replaced multiple missing teeth with a dental bridge, offering both functional and aesthetic benefits. Here, we see this patient achieved a remarkable transformation, and they couldn’t be happier with their results!
Call Our Kalamazoo Dental Office!
Call us to schedule your consultation or learn more about our services, including dental bridges in Kalamazoo.


This patient achieved a stunning smile transformation with dental implants and crowns at our Kalamazoo dental office. Dr. Mark’s expertise in implant restoration is evident in these before-and-after photos, where this patient regained their confident, healthy smile.
Dental Implants and Crowns in Kalamazoo
Our dental implants and crowns are meticulously designed to match the natural color and shape of the patient’s teeth, ensuring a seamless and stunning result.
Call us today for more!


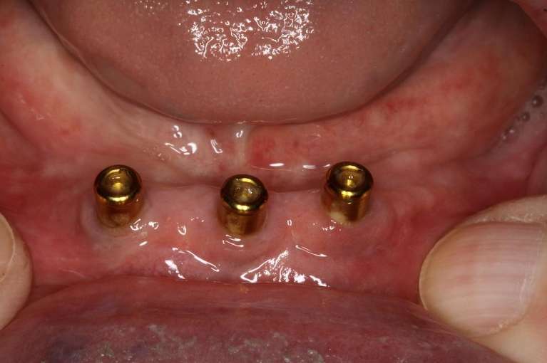
Here, you can see Dr. Mark's skill in enhancing lower denture stability and comfort with dental implants. This patient received implants as a secure foundation for lower dentures, greatly improving their quality of life, comfort, and confidence. The images highlight the seamless integration of the implants, offering a glimpse into how this technique can revolutionize the experience of wearing dentures.
Natural-Looking Dentures in Kalamazoo
Call us today to learn more about our dental implant restorations and dentures.
Had to find a new dentist because mine, who I thought was the best ever, retired. I chose Dr. Richardson because of the reviews online. Have seen him twice now and he is very nice, intelligent and knowledgeable and I feel that I will get very-good care from him. His staff are also great!