Mark E. Richardson DDS
Smilekalamazoo.com

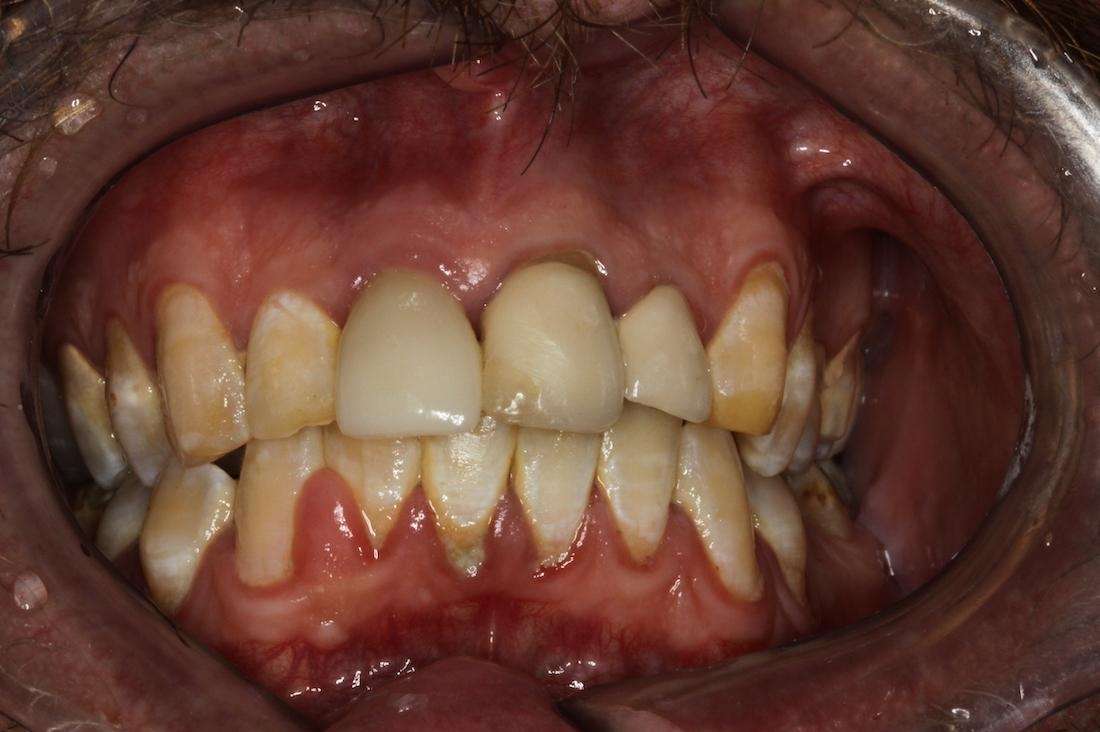
Crowns and Bridge - Upper Front Teeth

Dr. Mark meticulously crafts each dental crown to restore the natural beauty and strength of one’s teeth. This patient is thrilled with their renewed smile, and now, they radiate confidence with every interaction. 

Your Dream Smile Is Possible with Dental Crowns in Kalamazoo

Your journey to a majestic smile begins with a consultation with Dr. Mark. Call us today to learn more about our high-quality dental crowns in Kalamazoo. 

Related Services:

Crowns and Bridges
Professional, kind and actually made the process a fun experience

Saw Dr Richardson to have a crown made to save a cracked tooth. Both he and his assistant Holly were professional, kind and actually made the process a fun experience.
 
 

Ready to Book an Appointment?
If you have difficulty using our website, please email us or call us at (269) 343-6907
View the ADA Accessibility Statement