Mark E. Richardson DDS
Smilekalamazoo.com

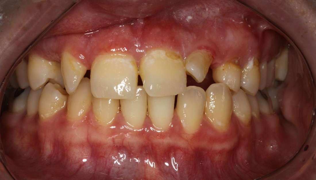
Bridge - Upper Front Teeth

This patient came to us unhappy with her smile. Dr. Mark created an anterior (front) bridge to help her have more uniform-looking teeth and stunning results.

Beautiful, Natural-Looking Bridges in Kalamazoo, MI

If you are curious about what dental bridges can do for your smile, give us a call to arrange a consultation.

Related Services:

Crowns and Bridges
Professional, kind and actually made the process a fun experience

Saw Dr Richardson to have a crown made to save a cracked tooth. Both he and his assistant Holly were professional, kind and actually made the process a fun experience.
 
 

Ready to Book an Appointment?
If you have difficulty using our website, please email us or call us at (269) 343-6907
View the ADA Accessibility Statement